14 Nov 2024
Blog - Page 7
14 Nov 2024
Les micro-réveils nocturnes peuvent être le signe d'une apnée du sommeil avec obstruction respiratoire. Si vous êtes concerné, consultez rapidement pour retrouver un sommeil serein !
14 Nov 2024
Restaurez la beauté naturelle de vos dents en agissant sur leur teinte, leur forme, leur taille et leur alignement grâce à l’esthétique dentaire.
14 Nov 2024
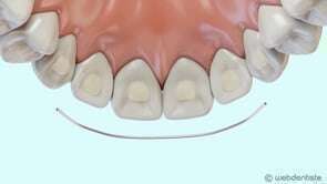
Grâce au développement de techniques discrètes et confortables, de plus en plus d’adultes ont recours à l’orthodontie.
Affichage des articles 73-84 sur 219












